Wurfplanung

Vorfreude auf unseren geplanten Wurf

Aktueller Status

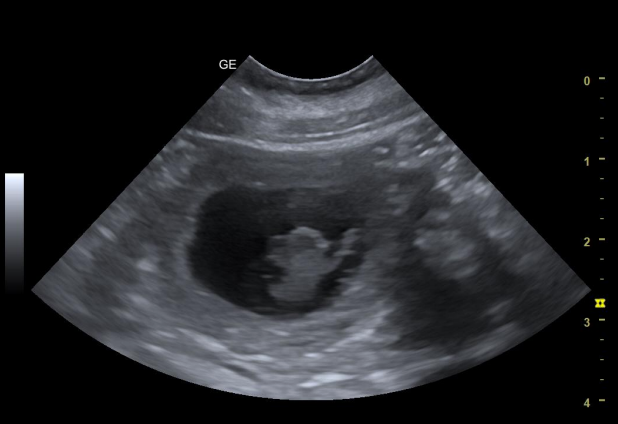
Trächtigkeit bestätigt! 🎉

Wir freuen uns sehr, bekannt zu geben, dass Maze trächtig ist! Die Ultraschalluntersuchung am 17. März 2026 hat die Trächtigkeit bestätigt. Maze geht es sehr gut und wir können es kaum erwarten, die Welpen zu begrüßen.

Ultraschallbild vom 17. März 2026

Ultraschallbild - Trächtigkeit bestätigt

Klicken zum Vergrößern

Unsere Planung

👩 Maze

Maze - Feel the Sun of frisian bright Hope

Klicken zum Vergrößern

Zuchtname: Feel the Sun of frisian bright Hope

Geboren: 31. Januar 2022

HD: A2/A2

ED: 0/0

GR-PRA1 & GR-PRA2: Über Erbgang frei

Zuchtzulassung: Seit 11.01.2024 ohne Auflagen

👨 Deckrüde

Quick-Escape v.'t Keijsershof Dave

Klicken zum Vergrößern

Name: Quick-Escape v.'t Keijsershof Dave

Geboren: 29.03.2021

HD: A

ED: 0-0

GR-PRA1 & GR-PRA2: frei

Ichthyose: frei

Ichthyose Typ 2: frei

Wesen: Freundlich, familienorientiert

🗓️ Zeitrahmen

Deckung: 17. Februar 2026

Ultraschall: 17. März 2026 ✓

Voraussichtliche Abgabe: Ende Juni 2026

Alle Daten sind vorläufig und können sich ändern.

Von der Planung bis zur Abgabe

Der Weg zu Ihrem Golden Retriever Welpen

1

Deckplanung

Sorgfältige Auswahl des Deckrüden basierend auf Gesundheit, Wesen und Abstammung. Alle Untersuchungen werden abgeschlossen.

2

Trächtigkeit (durchschnittlich etwa 63 Tage)

Nach erfolgreicher Deckung wird die Trächtigkeit tierärztlich bestätigt. Die Mutter erhält besondere Betreuung und Ernährung.

3

Geburt & erste Wochen

Die Welpen werden geboren und verbringen ihre ersten Lebenswochen eng bei ihrer Mutter und der Familie. Wir begleiten jeden Schritt ihrer Entwicklung.

4

Aufzucht & Sozialisierung (bis Woche 8)

Intensive Prägung und Sozialisierung beginnt. Die Welpen lernen verschiedene Reize, Menschen und Situationen kennen.

5

Abgabe (ab Woche 8)

Die Welpen ziehen aus – geimpft, gechipt, entwurmt und bestens vorbereitet. Wir bleiben als Ansprechpartner für Sie da.

Das erwartet Sie

Gesunde Elterntiere

Umfassend auf alle zuchtrelevanten Erkrankungen untersucht

VDH/FCI/GRC Papiere

Alle Welpen erhalten offizielle Ahnentafeln

Tierärztlich betreut

Regelmäßige Kontrollen, Impfungen und Chip

Intensive Sozialisierung

Aufzucht im Familienverband mit gezielter Prägung

Unterstützung

Wir stehen Ihnen auch nach dem Auszug zur Seite

Interesse an einem Welpen?

Nehmen Sie unverbindlich Kontakt mit uns auf und lernen Sie uns kennen.

Jetzt Interesse anmelden